Lingualtechnik - unsichtbare Zahnkorrektur
Um eine absolut unsichtbare und dadurch hochästhetische Behandlungsmethode bei kieferorthopädischen Zahnkorrekturen handelt es sich bei der Lingualtechnik. Unsichtbar ist diese Methode deshalb, weil die speziellen Brackets auf der Innenseite der Zähne, also lingual, befestigt werden.
In einem Fachlabor werden die Bögen und jedes einzelne Bracket, individuelleund genau auf den Patienten abgestimmt, hergestellt.
Vom Material- und Zeitaufwand ist die Lingualtherapie weitaus aufwendiger, dauert aber für gewöhnlich bei einem versierten Kieferorthopäden auch nicht länger als eine Behandlung mit einer festen Apparatur von außen.
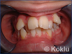
Patienten Beispiel "Ausgangssituation vor der Behandlung mit der Methode der Lingualtechnik"

Allerdings hat diese Behandlungsmethode nicht nur Vorteile. Die Eingewöhnungszeit liegt bei der Lingualbehandlung zwischen 2 - 4 Wochen. Außerdem ist am Anfang mit Sprach- und Essproblemen zu rechnen, da sich die Zunge erst an die Brackets gewöhnen und dementsprechend auf sie einstellen muss. Nach den Wochen der Eingewöhnung sind diese Probleme allerdings wieder verschwunden.
Ein weiteres Plus der Lingualtechnik ist, dass eine, zwar nur in selten Fällen auftretende und durch mangelnde Mundhygiene während der Therapie mögliche Entkalkung geringer ist. Sollte sie doch eingetreten sein, so ist sie von außen nicht sichtbar.
Patienten Beispiel: "Oberkiefer mit Brackets auf der Zahninnenseite"
Patienten Beispiel: "Unterkiefer mit Brackets auf der Zahninnenseite "

In Deutschland wird diese Methode erst von wenigen Kieferorthopäden angewandt und doch gibt es mehr Patienten als man denkt, die eine solche Apparatur tragen. Man kann es eben von außen nicht erkennen.
Patienten Beispiel "Nach der Behandlung mit der Zahnspange Lingualtechnik"

Allerdings ist die Lingualtherapie nicht für die Behandlung von allen Zahnfehlstellungen anwendbar. Wir beraten Sie diesbezüglich gerne in unserer Praxis in einem persönlichen Gespräch.
Durch unsere spezielle Methode konnte auf die Entfernung vier bleibender Zähne verzichtet werden. Ebenfalls konnte eine chirurgische Korrektur der Fehlstellung vermieden werden.
Kontakt
Bahnhofstraße 28
58332 Schwelm
Telefon: 02 33 6 / 8 13 13
Telefax: 02 33 6 / 8 14 65
E-Mail: praxis@drkoeklue.de
www.drkoeklue.de
www.niemehrschnarchen.org



