Zahnfehlstellungen
Zahn-und Kieferfehlstellungen lassen sich kaum separat behandeln, aber nachfolgend sollen Beispiele für Zahnfehlstellungen aufgezeigt werden.
Zahnengstand
Patienten Beispiel "extremer Zahnengstand im Oberkiefer (Aussen)"

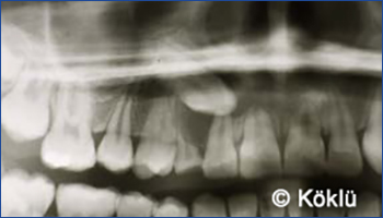
Patienten Beispiel "extremer Zahnengstand im Oberkiefer (Innen)"
Das hier gezeigte Fallbeispiel aus der Praxis Assoc. Prof. (TR) Dr. med. dent. Köklü zeigt einen extremen Zahnengstand und Platzmangel im Oberkiefer des Patienten. Die meisten Kieferorthopäden würden in diesem Fall vier gesunde Zähne entfernen, um genügend Platz auf dem Zahnbogen zu schaffen.
Bei uns bekommen Sie eine kieferorthopädische Behandlung bei dieser Zahn- und Kieferfehlstellung ohne Zahnextraktion. Dies ist die beste Behandlungsmethode ohne Zahnentfernung.
Zahnengstand wegen "Zahn Überzahl" und "Verlagerung"
Auch eine Überzahl an Zähnen kann zu extremen Engständen in den Zahnreihen führen.
Patienten Beispiel "Überzahl von Zähnen im Oberkiefer"
Patienten Beispiel "Verlagerter Zahn im Oberkiefer"
Zähne, die im Kiefer angelegt sind, jedoch aufgrund einer Verlagerung nicht normal durchbrechen können, tragen ebenfalls zu Zahnfehlstellungen bei und können ohne Extraktion eingeordnet werden.
Diastema Mediale
Als Diastema mediale wird die Lücke zwischen den Oberkieferschneidezähnen bezeichnet. Die Ursache dieser Zahnfehlstellung ist auf die Zugkraft der Fasern des Lippenbändchens, die von vorne bis hin zum Gaumen ziehen können, zurückzuführen. Bleibt die Zahnlücke nach Entfernung des Lippenbändchens bestehen, kann diese kieferorthopädisch geschlossen werden. Der günstigste Zeitpunkt ist nach Durchbruch der Eckzähne.
Patienten Beispiel "Diastema Mediale im Oberkiefer"
Kontakt
Bahnhofstraße 28
58332 Schwelm
Telefon: 02 33 6 / 8 13 13
Telefax: 02 33 6 / 8 14 65
E-Mail: praxis@drkoeklue.de
www.drkoeklue.de
www.niemehrschnarchen.org



